Dental implants hero

Dental Implants Serving Alsager

For residents of Alsager, Crown Bank Dental Practice provides dental implant care designed to restore smiles comfortably and confidently. Treatments are planned with attention to detail and delivered supportively, ensuring patients feel at ease while achieving durable, natural-looking outcomes that blend seamlessly.

Dental Implants: A Durable Option for Tooth Loss

With dental implants, missing teeth can be replaced with a durable, stable solution. They function and appear like natural teeth, making eating and speaking more comfortable, supporting overall wellbeing, and helping you enjoy everyday life with confidence and comfort.

Natural Appearance

Enhanced Comfort

Durability and Longevity

Prevention of Bone Loss

Improved Oral Health

Restored Speech

We EXCLUSIVELY Use the Most Trusted Dental Implants

No Imitations. Only Trusted Brands.

Save £600 on Your Treatment
With Our Free Contribution

FREE

Consultation
(Value £150)

Your consultation is thoughtfully organised and relaxed, providing clear guidance on options for replacing missing teeth, allowing you time to understand information and make informed decisions at your own pace.
FREE

Review Appointment
(Value £55)

Your included follow-up visits help us track healing and progress carefully, supporting comfort and confidence throughout the dental implant journey.
FREE

3D Scan
(Value £99)

If you proceed with treatment, the full cost of your 3D scan (up to £99) will be deducted entirely.
FREE

Night Guard
(Value £150)

If appropriate, a complimentary night guard may be provided to protect your dental implants and surrounding teeth.

Reliable Dental Implants, Placed With Care

We know that missing teeth can harm confidence.
Dental implants offer stable, durable replacements that safeguard your natural teeth. Carefully fixed in the jaw, they help restore eating, speaking, and smiling with comfort and confidence, providing a convenient, long-term alternative to removable dentures or other temporary solutions.
teeth icon
Protects Remaining Teeth
long lasting icon
Long Lasting Solution
high success icon
High Success Rate
shining tooth
Chew & Smile Confidently

Stable Dental Implants Designed For Life

A trusted dental practice for Alsager residents
Premium Implants Only

Lasting Dental Stability With Comfortable Care

The effectiveness of dental implants is influenced by materials used, so we rely on premium-grade implants and grafts that meet high clinical standards.
We RELY on trusted dental implant brands known for durability and simpler care, ensuring your investment remains strong while supporting reliable performance.
Smile Without the Wait

Same-Day Dental Implants Serving Alsager

With same-day dental implants, suitable patients can receive a fixed tooth replacement immediately at Crown Bank Dental Practice, helping shorten treatment time while carefully maintaining comfort, safety, and predictable outcomes throughout the implant process.
Serving Alsager, we carefully assess suitability using detailed scans and thorough planning. When suitable, same-day dental implants provide instant function and appearance, with the permanent restoration placed after full healing for comfortable, natural results.
No More Slipping Dentures

All-On-4 Dental Implants Serving Alsager

At Crown Bank Dental Practice, All-On-4 dental implants offer a full-arch solution for patients missing most or all teeth. Four carefully positioned implants support a permanent set of teeth, frequently eliminating the need for grafting.
Patients in Alsager appreciate this technique for its stability, efficiency, and natural-looking results. It offers a reliable alternative to removable dentures, supporting confidence, speech, and everyday comfort with a carefully tailored, long-term treatment plan.
Avoid Bone Grafting

Short Dental Implants Serving Alsager

Designed for patients with reduced bone height, short dental implants offer an effective alternative without complex grafting. At Crown Bank Dental Practice, careful placement maintains implant strength, stability, and long-term performance for consistent, comfortable results.
For patients in Alsager, short dental implants broaden treatment possibilities while keeping procedures minimally invasive. They support reliable function and natural-looking results, all planned with the same attention to detail and long-term success as standard dental implants.

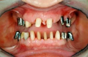
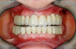
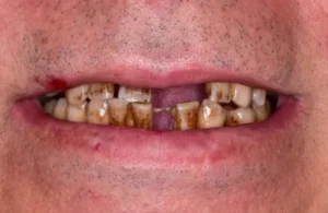
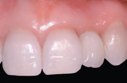
Examples of Implant Treatments

Before
After
Before
After
Before
After
Before
After
Interest-Free Monthly Plans

0% Finance Options for Alsager Residents

Worried about dental implant costs? Our 0% interest payment plans help spread treatment across manageable monthly payments. You don’t have to postpone care, as our team explains options clearly, supporting a comfortable, confident smile restoration without financial stress, while offering guidance, flexibility, reassurance, and clear planning throughout your journey without financial stress.
At Crown Bank Dental Practice, we regularly provide consultations and treatments to patients from Sandbach, Winterley, Holmes Chapel, Goostrey, Rode Heath, Scholar Green, Haslington and Alsager at our practice located in Sandbach, Cheshire.
0% financing
Meet Dr Mehdi Yazdi

Dr Mehdi Yazdi

GDC: 114351
BDS, MJDF RCS, Dip D Sed, MSc Implant Dentistry, PG Cert Restorative Dentistry, PG Cert Periodontics

Dr Mehdi Yazdi

Mehdi has been Principal Dentist since 2017 at Crown Bank Dental. He graduated from the School of Clinical Dentistry, University of Sheffield in 2007.

Since qualifying as a dentist Mehdi has undertaken extensive postgraduate training enabling him to provide the best possible care to the patients he treats. He completed his vocational training in Manchester 2008 before working as a Senior House Officer in Oral and Maxillofacial Surgery in Norwich 2009, gaining Oral Surgery experience. 

Shortly after this post Mehdi successfully completed his membership examination to the Royal College of Surgeons. From 2009 to 2011 Mehdi worked as a Specialty Dentist in Oral Surgery at King’s College Hospital in London where he contributed to the teaching of dental students and the training of junior dentists in Oral Surgery. During this time Mehdi completed a postgraduate Diploma in Dental Sedation, training at Guy’s Hospital, London 2010. Mehdi previously worked in Kent establishing a referral base for providing dental implant treatment, oral surgery and sedation for patients in the local and surrounding areas. 

Dr Mehdi Yazdi

Mehdi completed a master’s degree in implant dentistry with merit MSc in Implant Dentistry at the University of Warwick. In 2013 and 2015 Mehdi was shortlisted for the award of ‘Best Young Dentist in the UK’.

Mehdi’s experience and commitment to career development have enabled him to establish a special interest in providing dental implant treatment, oral surgery and sedation. Mehdi’s calm and caring approach to Dentistry ensures that his patients feel comfortable and at ease throughout the course of their treatment.

Comfort and Care for Smile Restoration

Frequently Asked Questions (FAQs)

1. How do dental implants replace a missing tooth?
Dental implants offer a natural, long-lasting solution for missing teeth. A titanium post is placed securely into the jawbone to act as a tooth root, supporting a crown, bridge, or denture. Over time, it bonds with the bone to provide reliable stability. This treatment helps maintain bite strength, preserve facial structure, and restore a natural-looking smile. Every procedure is carried out carefully to ensure comfort, proper function, and lasting everyday confidence.
If you are in good health but have lost teeth due to decay, injury, or other factors, dental implants may offer an effective solution. Important considerations include having sufficient bone to support the dental implant, healthy gums, and no significant medical conditions. Non-smokers often achieve higher success rates. A comprehensive assessment will determine suitability, and even when some bone loss is present, procedures like bone grafting can make dental implants a reliable way to restore a confident smile.
Although everyone’s tolerance is different, most patients report minimal discomfort during dental implant placement. The treatment area is fully numbed with local anaesthetic for a comfortable experience. After the procedure, mild tenderness can be managed with standard pain relief. Clear aftercare advice and continued support from our team help ensure steady healing and a relaxed recovery process.
Crafted to function like real teeth, dental implants allow you to chew, talk, and smile naturally. They reduce the risk of bone loss and eliminate the need to alter neighbouring teeth. By supporting facial structure, dental implants enhance confidence and comfort. As a secure, lasting treatment option, they promote improved oral health and quality of life.
Dental implant treatment length is tailored to each patient. While same-day temporary restorations can be possible, the overall journey typically spans a few months. Factors such as bone recovery, dental implant stability, and desired smile improvements affect timing. At your consultation, we evaluate your condition carefully and outline a clear, customised plan to support successful outcomes.
Thanks to modern dental implant techniques, being without teeth during treatment is rarely necessary. Temporary teeth or prosthetics are usually fitted immediately after surgery to maintain normal appearance, speech, and comfort. In certain cases, permanent teeth can even be placed the same day. Your unique situation will determine the best approach. Schedule a consultation at Crown Bank Dental Practice, where our team will carefully evaluate your needs and develop a personalised plan for immediate or staged tooth restoration.
With proper care, dental implants can last well beyond 15 years, and in many cases, a lifetime. Maintaining good oral hygiene, attending regular dental reviews, and avoiding smoking or damaging habits ensures durability, preserves function, and protects your investment in a long-term, reliable, and natural-looking solution for missing teeth.
Caring for your mouth after dental implant surgery is crucial. Brush and floss regularly and see your hygienist routinely. Regular dental visits every few months provide deep cleaning and allow gum health to be monitored. Following these practices protects your dental implants, extends their lifespan, and ensures they remain strong, functional, and comfortable while maintaining a healthy, natural smile.

Kind Reviews From Our Patients

crownbank-logo

Read what our patients are saying about us on Google Reviews.

Book a FREE Consultation

WITHOUT OBLIGATION
Get in touch today. Your initial consultation is free and may come with X-rays if needed. A Crown Bank Dental Practice team member will be in contact soon. We have proudly supported the Alsager community for many years.
Scroll to Top
Send an Enquiry
Crown Bank Dental Sandbach place picture
4.9
Based on 851 reviews
powered by Google
Karen Richardson profile picture
Karen Richardson
13:49 24 Feb 26
Lovely service, friendly and helpful example everything that I'm having done excellent service, very happy with the service I've received top notch
Lee John Guy profile picture
Lee John Guy
22:07 23 Feb 26
We have been going to Crown Dental for a long time the main reason being that it’s a lovely Practice staffed by lovely people who make you feel at ease and carry out there procedures in a totally professional manner. Thanks for our treatments today.
Craig Spicer profile picture
Craig Spicer
16:59 23 Feb 26
arthur charlesworth profile picture
arthur charlesworth
16:04 23 Feb 26
Very good i could not fault it was a cancellation spot. Thank you all very much
Fiona Cooper profile picture
Fiona Cooper
15:43 23 Feb 26
Chris Jackson profile picture
Chris Jackson
22:41 11 Feb 26
Excellent level of care from the hygienists today at crown bank central
John Evans profile picture
John Evans
16:30 11 Feb 26
Jenny Hall profile picture
Jenny Hall
14:12 11 Feb 26
Fantastic experience, I had a wisdom tooth extraction. With no discomfort at all during the procedure, the staff were very caring and attentive.
beverley welsh profile picture
beverley welsh
16:02 10 Feb 26
Proffesional, friendly, and most of all, crown practice makes me feel relaxed and less stressed. As I am a nervous dentist patient.
Mark Parkes profile picture
Mark Parkes
15:00 10 Feb 26
Great service, staff couldn't have been more helpful and polite
Alyson Hainsworth profile picture
Alyson Hainsworth
16:08 05 Feb 26
Always a pleasure to visit Crown Bank Denral. Staff are friendly and welcoming. Daniel explained everything in a calm and professional manner and his attention to detail is excellent. I am very happy with my new implant and crown and highly recommend the practice.
LDB profile picture
LDB
16:14 03 Feb 26
I had my teeth cleaned by Danielle and she did an excellent job. She listened to my concerns and was gentle during the visit. The staff are very nice and professional.
Jane FRENCH profile picture
Jane FRENCH
18:24 23 Jan 26
Thank you Crown Bank Dental for putting me at my ease as a new patient. Everything explained well in a thoughtful kindly manner I have no qualms about returning for my treatment.
Returned for my treatment made comfortable, reassured and everything explained by my dentist Olivia. Thank you.
Rich Allen profile picture
Rich Allen
13:48 20 Jan 26
Had a wisdom tooth removed last Thursday was really nervous about the procedure but everybody at crown bank dental made everything super calm and smooth as possible which I can’t thank them enough for! I opted for the IV sedation which is amazing stuff! The best hours sleep you will ever have. They even gave me a call the next day to see how I was getting on. Thank you again crown bank dental.
James Collinge profile picture
James Collinge
07:08 11 Dec 25
Had my appointment with Olivia last week which was a really good and received some personalised reports through yesterday which were a nice touch. Unbelievable value and experience. Crown Bank Dental certainly set a standard higher than anything private medical I’ve experienced.
thebeardedscot profile picture
thebeardedscot
22:03 27 Oct 25
From the moment I arrived until the moment I left, the whole service I received could not have been any better. The smiles and friendly service from the reception team and from Dan and his dental assistant during the appointment, this is genuinely a different level of dental practice and one that my past practices could not come close to. So glad I joined Crown Bank and I look forward to returning for future appointments
Pip Beech profile picture
Pip Beech
17:35 02 Oct 25
After a nightmare falling on a run the night before and face planting the floor I had a smashed tooth which was super sharp and sore.

Crown Bank got me straight in the next day and immediately xray’d it and made sure nothing else was broken or damaged before bonding the tooth and making it look good as new. Everyone has commented how you can’t even tell. Amazing service.
See All Reviews
Crown Bank Dental Sandbach place picture
4.9
Based on 851 reviews
powered by Google
Karen Richardson profile picture
Karen Richardson
13:49 24 Feb 26
Lovely service, friendly and helpful example everything that I'm having done excellent service, very happy with the service I've received top notch
Lee John Guy profile picture
Lee John Guy
22:07 23 Feb 26
We have been going to Crown Dental for a long time the main reason being that it’s a lovely Practice staffed by lovely people who make you feel at ease and carry out there procedures in a totally professional manner. Thanks for our treatments today.
Craig Spicer profile picture
Craig Spicer
16:59 23 Feb 26
arthur charlesworth profile picture
arthur charlesworth
16:04 23 Feb 26
Very good i could not fault it was a cancellation spot. Thank you all very much
Fiona Cooper profile picture
Fiona Cooper
15:43 23 Feb 26
Chris Jackson profile picture
Chris Jackson
22:41 11 Feb 26
Excellent level of care from the hygienists today at crown bank central
John Evans profile picture
John Evans
16:30 11 Feb 26
Jenny Hall profile picture
Jenny Hall
14:12 11 Feb 26
Fantastic experience, I had a wisdom tooth extraction. With no discomfort at all during the procedure, the staff were very caring and attentive.
beverley welsh profile picture
beverley welsh
16:02 10 Feb 26
Proffesional, friendly, and most of all, crown practice makes me feel relaxed and less stressed. As I am a nervous dentist patient.
Mark Parkes profile picture
Mark Parkes
15:00 10 Feb 26
Great service, staff couldn't have been more helpful and polite
Alyson Hainsworth profile picture
Alyson Hainsworth
16:08 05 Feb 26
Always a pleasure to visit Crown Bank Denral. Staff are friendly and welcoming. Daniel explained everything in a calm and professional manner and his attention to detail is excellent. I am very happy with my new implant and crown and highly recommend the practice.
LDB profile picture
LDB
16:14 03 Feb 26
I had my teeth cleaned by Danielle and she did an excellent job. She listened to my concerns and was gentle during the visit. The staff are very nice and professional.
Jane FRENCH profile picture
Jane FRENCH
18:24 23 Jan 26
Thank you Crown Bank Dental for putting me at my ease as a new patient. Everything explained well in a thoughtful kindly manner I have no qualms about returning for my treatment.
Returned for my treatment made comfortable, reassured and everything explained by my dentist Olivia. Thank you.
Rich Allen profile picture
Rich Allen
13:48 20 Jan 26
Had a wisdom tooth removed last Thursday was really nervous about the procedure but everybody at crown bank dental made everything super calm and smooth as possible which I can’t thank them enough for! I opted for the IV sedation which is amazing stuff! The best hours sleep you will ever have. They even gave me a call the next day to see how I was getting on. Thank you again crown bank dental.
James Collinge profile picture
James Collinge
07:08 11 Dec 25
Had my appointment with Olivia last week which was a really good and received some personalised reports through yesterday which were a nice touch. Unbelievable value and experience. Crown Bank Dental certainly set a standard higher than anything private medical I’ve experienced.
thebeardedscot profile picture
thebeardedscot
22:03 27 Oct 25
From the moment I arrived until the moment I left, the whole service I received could not have been any better. The smiles and friendly service from the reception team and from Dan and his dental assistant during the appointment, this is genuinely a different level of dental practice and one that my past practices could not come close to. So glad I joined Crown Bank and I look forward to returning for future appointments
Pip Beech profile picture
Pip Beech
17:35 02 Oct 25
After a nightmare falling on a run the night before and face planting the floor I had a smashed tooth which was super sharp and sore.

Crown Bank got me straight in the next day and immediately xray’d it and made sure nothing else was broken or damaged before bonding the tooth and making it look good as new. Everyone has commented how you can’t even tell. Amazing service.
See All Reviews