New Patient Assessments HALF PRICE Summer Special – Book TODAY to secure your appointment | 0% finance available on all treatments

Smile Gallery

See how we create happy smiles one smile at a time at Crown Bank Dental.

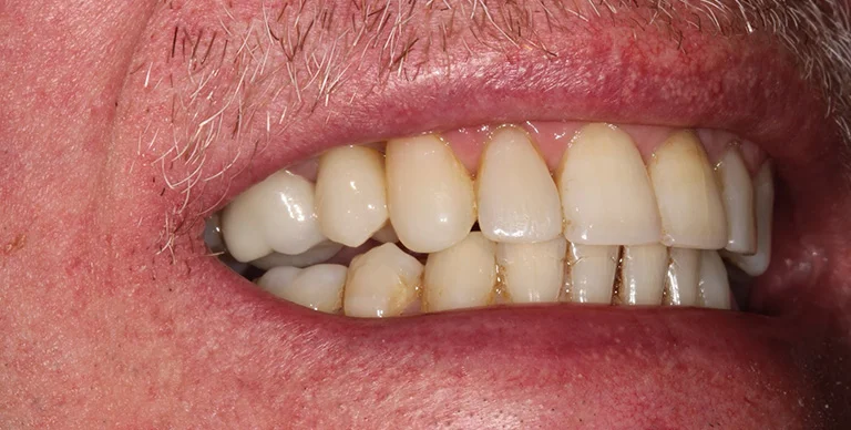
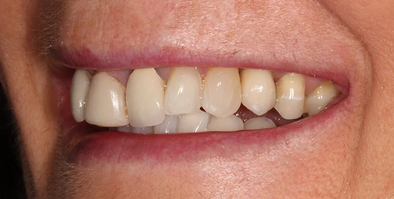
Before

After

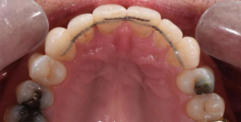
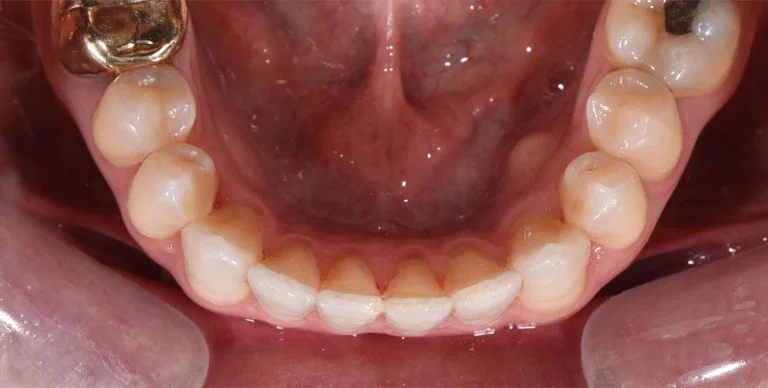
Case 1

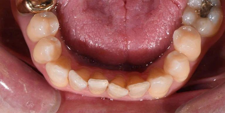
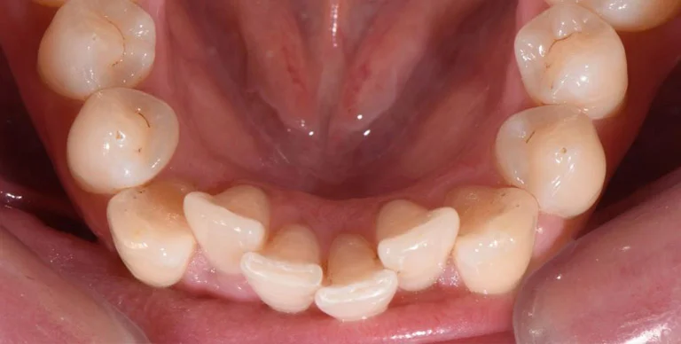
Before

After

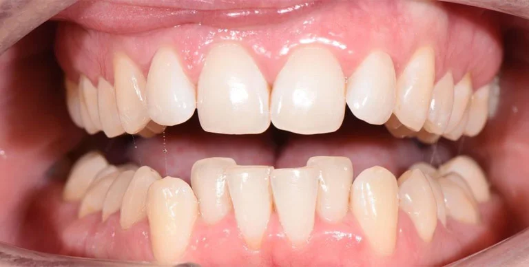
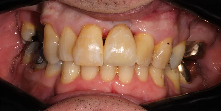
Case 2

Before

After

Case 3

Before

After

Case 4

Before

After

Case 5

Before

After

Case 6

Before

After

Case 7

Before

After

Case 8

Scroll to Top
Send an Enquiry
Crown Bank Dental Congleton place picture
5.0
Based on 133 reviews
powered by Google
Philip Jones profile picture
Philip Jones
18:08 10 Feb 26
My partner has had a full set of dentures from Crown Bank by Dr Dan Hainsworth he was great, assisted byJodie they always made us feel very welcome. She is a nervous patient and over the 5 visits Dr Dan and Jodie always put her at ease and let her choose the background music of Pink for her tooth extraction visit. She is very happy with her new smile thanks to all the wonderful staff in the Congleton branch
Olivia Cunningham profile picture
Olivia Cunningham
12:43 07 Feb 26
Robert Page profile picture
Robert Page
14:49 05 Feb 26
Went for an initial cleaning appointment today. Cannot find adequate words to express my thanks for the incredible care and empathetic treatment I received during a procedure I used to dread at my previous dental practice. I felt relaxed throughout, had everything explained clearly and negligible discomfort. Thank you so much!
Garikayi Chimutanda profile picture
Garikayi Chimutanda
19:20 04 Feb 26
Great customer service at Crown Bank Dental Congleton. My assessment was well explained, Great attention to detail from this Team.Keep the quality service journey.
Gerald Sumpter profile picture
Gerald Sumpter
18:38 04 Feb 26
Great work by Crown Bank today. Called at 09.00 and arranged an emergency appointment with Rebecca at 11.30. A very very agitated tooth was calmed within the hour . Will probably need removing next week and ultimately replacing but relieved for now. Rebecca and her assistant were fantastic. 👍
Ibby Anam profile picture
Ibby Anam
18:45 23 Jan 26
I recently had a procedure done by Mehdi and honestly it was such a good experience. I highly recommend Crown Bank Dental and their services. They really do look after you even following the procedure. Very thankful!
Anna Ling profile picture
Anna Ling
12:50 06 Jan 26
Such a lovely and professional team. I'm usually terrified at the dentist but they couldn't have been more welcoming and friendly. Dan (dentist) was brilliant and explained everything really thoroughly. Thank you!
Gareth J Butler profile picture
Gareth J Butler
14:21 04 Dec 25
Today was my first treatment at Crown Bank Dental, I received a lovely welcome from Helen at reception and the most professional and atentive treatment from Katy and Michelle. The required filing was my upper left and it could have been a challenge but 30 minutes later with NO pain OR discomfort and it was sorted.

Thanks,
Gaz x
Sharon Wild profile picture
Sharon Wild
18:47 12 Nov 25
Crown Bank Dental have exceeded the high standards they set at my last visit. Rebecca went above and beyond to ensure I was both relaxed and comfortable throughout my treatment. Incredible. Delighted doesn’t come close.
Cassandra Kinnaird profile picture
Cassandra Kinnaird
16:54 31 Oct 25
Fabulous experience from registration to leaving a review!
I rang the practice to register and received the most cheerful and helpful advice. Our appointments were booked at our convenience and followed up digitally to confirm. When we arrived for our appointment, we were met with a friendly welcome and offered a seat in a beautiful decorated and comfortable waiting room. We were seen by Dr Rebecca Smith who is the most amazing dentist ever, our 3 hour journey was worth every minute of it!!! Always so cheerful, kind, patient and with a wealth of knowledge and not to mention a great sense of humour to deal with us lot. Before we left, we also joined their own dental plan and made our next appointments.
Thank you Rebecca, Chloe and Helen.
See All Reviews
Crown Bank Dental Sandbach place picture
4.9
Based on 851 reviews
powered by Google
Karen Richardson profile picture
Karen Richardson
13:49 24 Feb 26
Lovely service, friendly and helpful example everything that I'm having done excellent service, very happy with the service I've received top notch
Lee John Guy profile picture
Lee John Guy
22:07 23 Feb 26
We have been going to Crown Dental for a long time the main reason being that it’s a lovely Practice staffed by lovely people who make you feel at ease and carry out there procedures in a totally professional manner. Thanks for our treatments today.
Craig Spicer profile picture
Craig Spicer
16:59 23 Feb 26
arthur charlesworth profile picture
arthur charlesworth
16:04 23 Feb 26
Very good i could not fault it was a cancellation spot. Thank you all very much
Fiona Cooper profile picture
Fiona Cooper
15:43 23 Feb 26
Chris Jackson profile picture
Chris Jackson
22:41 11 Feb 26
Excellent level of care from the hygienists today at crown bank central
John Evans profile picture
John Evans
16:30 11 Feb 26
Jenny Hall profile picture
Jenny Hall
14:12 11 Feb 26
Fantastic experience, I had a wisdom tooth extraction. With no discomfort at all during the procedure, the staff were very caring and attentive.
beverley welsh profile picture
beverley welsh
16:02 10 Feb 26
Proffesional, friendly, and most of all, crown practice makes me feel relaxed and less stressed. As I am a nervous dentist patient.
Mark Parkes profile picture
Mark Parkes
15:00 10 Feb 26
Great service, staff couldn't have been more helpful and polite
Alyson Hainsworth profile picture
Alyson Hainsworth
16:08 05 Feb 26
Always a pleasure to visit Crown Bank Denral. Staff are friendly and welcoming. Daniel explained everything in a calm and professional manner and his attention to detail is excellent. I am very happy with my new implant and crown and highly recommend the practice.
LDB profile picture
LDB
16:14 03 Feb 26
I had my teeth cleaned by Danielle and she did an excellent job. She listened to my concerns and was gentle during the visit. The staff are very nice and professional.
Jane FRENCH profile picture
Jane FRENCH
18:24 23 Jan 26
Thank you Crown Bank Dental for putting me at my ease as a new patient. Everything explained well in a thoughtful kindly manner I have no qualms about returning for my treatment.
Returned for my treatment made comfortable, reassured and everything explained by my dentist Olivia. Thank you.
Rich Allen profile picture
Rich Allen
13:48 20 Jan 26
Had a wisdom tooth removed last Thursday was really nervous about the procedure but everybody at crown bank dental made everything super calm and smooth as possible which I can’t thank them enough for! I opted for the IV sedation which is amazing stuff! The best hours sleep you will ever have. They even gave me a call the next day to see how I was getting on. Thank you again crown bank dental.
James Collinge profile picture
James Collinge
07:08 11 Dec 25
Had my appointment with Olivia last week which was a really good and received some personalised reports through yesterday which were a nice touch. Unbelievable value and experience. Crown Bank Dental certainly set a standard higher than anything private medical I’ve experienced.
thebeardedscot profile picture
thebeardedscot
22:03 27 Oct 25
From the moment I arrived until the moment I left, the whole service I received could not have been any better. The smiles and friendly service from the reception team and from Dan and his dental assistant during the appointment, this is genuinely a different level of dental practice and one that my past practices could not come close to. So glad I joined Crown Bank and I look forward to returning for future appointments
Pip Beech profile picture
Pip Beech
17:35 02 Oct 25
After a nightmare falling on a run the night before and face planting the floor I had a smashed tooth which was super sharp and sore.

Crown Bank got me straight in the next day and immediately xray’d it and made sure nothing else was broken or damaged before bonding the tooth and making it look good as new. Everyone has commented how you can’t even tell. Amazing service.
See All Reviews