If you’ve been dreaming about a brighter, straighter smile, dental veneers from Crown Bank Dental in Cheshire might be the perfect solution. A smile can light up any room, but not everyone feels confident enough in theirs. We want you to proudly share your smile with the world. That’s why we offer personalised cosmetic dentistry solutions. Read further to learn everything you need to know about dental veneers, their benefits, and why you should consider Crown Bank Dental for your smile makeover.
What Are Dental Veneers?
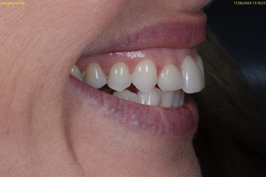
Dental veneers are thin, custom-made shells that cover the front surfaces of your teeth. Typically made from porcelain or composite resin, veneers are bonded to your teeth to enhance their size, shape, or colour. Think of veneers as a fresh outfit for your teeth. They provide a polished, flawless appearance while maintaining a natural look. Veneers can address chipped or discoloured teeth and minor alignment issues to completely transform your smile.


How Dental Veneers Can Improve Your Smile
Crown Bank Dental provides dental veneers as a versatile cosmetic dentistry solution. They give patients the opportunity to achieve smiles they love with results that look natural. Whether you want a subtle improvement or a full-blown smile makeover, we’ll customise veneers to meet your needs. They’re an excellent choice if you’re dealing with issues such as:
- Discolouration that doesn’t respond to traditional whitening methods
- Chipped, broken, or uneven teeth
- Unwanted gaps between teeth
- Teeth that are worn down or misshapen
- Slight misalignment that doesn’t require braces or aligners
The Process of Getting Dental Veneers
Are you wondering what the process of getting dental veneers looks like? Here’s a step-by-step breakdown of what to expect with dental veneers from Crown Bank Dental:
- Initial Consultation – This is where your smile transformation begins. During a consultation, your dentist will learn your goals, assess your teeth, and determine if veneers are the right solution for you.
- Preparation – Before we apply your veneers, we may remove a small amount of enamel from your teeth to prepare them for bonding. This ensures the veneers will fit seamlessly and look natural.
- Digital scans – We take digital scans of your teeth to create perfectly tailored veneers. These details are sent to a carefully selected digital dental laboratory, where skilled technicians craft veneers specifically for you.
- Temporary Veneers – While your permanent veneers are being created, we will use temporary veneers to protect your teeth and give you a preview of your new smile.
- Fitting the Veneers – Once your veneers are ready, we’ll carefully bond them to your teeth and adjust them for a perfect fit. After polishing to perfection, your smile makeover is complete.
Benefits of Dental Veneers
Don’t merely wonder if dental veneers are worth it. Review these key benefits to learn why this treatment is so popular in the world of cosmetic dentistry:
- Natural Appearance – Modern veneers are designed to look just like natural teeth.
- Quick Results – Unlike orthodontic treatments, you can achieve significant improvements in just a few visits.
- Stain Resistance – Porcelain veneers are highly resistant to coffee, tea, and other staining agents.
- Durability – With proper care, veneers can last well over a decade.
- Boosted Confidence – A bright, even smile can significantly improve your self-esteem.

Why You Should Choose Crown Bank Dental
When it comes to dental veneers in Cheshire, patients rely on Crown Bank Dental. Individuals throughout the region trust us because of our:
- Expertise – Our dentists have years of experience performing successful smile makeovers using dental veneers.
- Personalised Care – We take the time to understand our patients’ goals and create veneers that reflect their unique visions.
- Cutting-Edge Technology – Using the latest dental tools and techniques, we ensure precise results.
- Warm, Friendly Environment – We know dental visits can be nerve-wracking, so we prioritise patient comfort.
Contact Us to Schedule a Consultation Today
Your dream smile is more of a reality than you may think. If you’re ready to learn more about dental veneers or kick-start your smile makeover, let Crown Bank Dental in Cheshire help. Our expert staff is standing by to help you achieve a flawless, confident smile that you’re eager to flash in public. Contact us today to schedule a consultation.


























