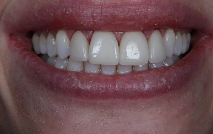
Cheshire Dental Veneers | Achieving a Perfect Smile

Cheshire Dental Veneers | Achieving a Perfect Smile Read Post »